A free daily newsletter for science lovers ͏ ͏ ͏ ͏ ͏ ͏ ͏ ͏ ͏ ͏ ͏ ͏ ͏ ͏ ͏ ͏ ͏ ͏ ͏ ͏ ͏ ͏ ͏ ͏ ͏ ͏ ͏ ͏ ͏ ͏ ͏ ͏ ͏ ͏ ͏ ͏ ͏ ͏ ͏ ͏ ͏ ͏ ͏ ͏ ͏ ͏ ͏ ͏ ͏ ͏ ͏ ͏ ͏ ͏ ͏ ͏ ͏ ͏ ͏ ͏ ͏ ͏ ͏ ͏ ͏ ͏ ͏ ͏ ͏ ͏ ͏ ͏ ͏ ͏ ͏ ͏ ͏ ͏ ͏ ͏ ͏ ͏ ͏ ͏ ͏ ͏ ͏ ͏ ͏ ͏ ͏ ͏ ͏ ͏ ͏ ͏ ͏ ͏ ͏ ͏ ͏ ͏ ͏ ͏ ͏ ͏ ͏ ͏ ͏ ͏ ͏ ͏ ͏ ͏ ͏ ͏ ͏ ͏ ͏ ͏ ͏ ͏ ͏ ͏ ͏ ͏ ͏ ͏ ͏ ͏ ͏ ͏ ͏ ͏ ͏ ͏ ͏ ͏ ͏ ͏ ͏ ͏ ͏ ͏ ͏ ͏ ͏ ͏ ͏ ͏
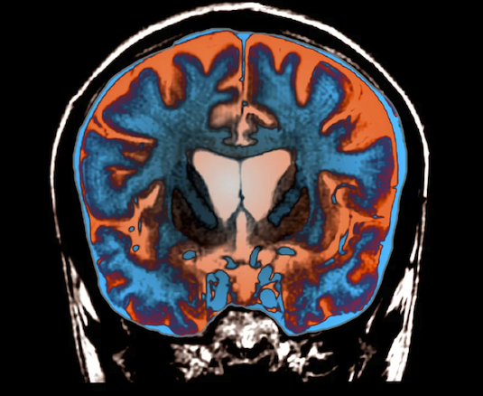
October 2, 2025—The science of untying a knot, a treatment for Huntington's, and why top CDC experts are resigning. —Andrea Gawrylewski, Chief Newsletter Editor | | MRI of a brain with Huntington's Disease. Zephyr/Science Source | | In 1937, mathematician Hilmar Wendt wanted to understand what happens when you add knots together. If you tied two knots with the same string, Wendt believed the number of moves it took to unravel the large knot was the sum of the individual knots' complexity. Mathematicians long believed this. But a group of researchers recently overturned this conjecture. They found a knot that is simpler than the sum of its parts. How it works: The mathematicians tied two knots so that, when connected, they require an unexpectedly small number of moves to undo. They connected a knot that would take three cutting and reconnecting "moves" to unravel it into a simple loop (this is called its "knotting number"), to a knot that was its mirror image to form a larger knot. Instead of the assumed six moves to undo it, the knot could ultimately be undone with five or fewer maneuvers. What the experts say: "This is quite surprising," says Rutgers University mathematician Kristen Hendricks, who was not involved in the study. "The result says that our notions of [knot] complexity could have problems." —Andrea Tamayo, Newsletter Writer | | Try a knotting puzzle: One string in each of the following pairs can be unraveled into a circle—the so-called unknot. Which one is it? | | Challenge problem: The other two knots, which can't be completely unraveled, can each be made to look like one of the four most basic knots. Identify them! | | | | |
- From the September, 1975 issue: "Loops on the sun are shown in a false-color picture made with the Harvard College Observatory ultraviolet spectroheliograph aboard the Skylab crewed orbiting satellite. The loops, which are part of the inner corona, extend some 150,000 kilometers from the sun's western edge. Black and blue areas represent the least intense radiation, yellow and magenta the more intense, and red the most intense."
| | - Biologist Lorenzo Cozzolino studies the impact of microplastics on marine life such as mollusks, crustaceans and seaweeds. "Recently, I was eating pasta with mussels, and I kept some to analyze in the lab. This was not a formal scientific study, but even so, I found microscopic fibers in them," he says. "As a scientist, I'm working to understand the problem, but we also need some political effort to tackle it." Nature | 3 min read
| | Exciting news! The winner of the annual Fat Bear Week competition run by Katmai National Park, in Alaska, and explore.org has been announced. Click through to meet Chunk, the fattest bear of the year. The annual single-elimination voting tournament celebrates how well bears of the Brooks River region have fattened up for winter. Chunk is a brown bear and estimated to be about 1,200 pounds. He is one of the largest bears at Brooks River. In June of this year he returned to the area with a broken jaw, which experts hypothesized he got during the spring mating season. He figured out how to eat salmon using one side of his mandible and emerged victorious from the summer. Congrats, Chunk! | | —Andrea Gawrylewski, Chief Newsletter Editor
| | | | |
Subscribe to this and all of our newsletters here. | | | | |
Comments
Post a Comment